小児矯正・NeO-Cap.System®
- HOME
- 小児矯正・NeO-Cap.System®
こんなことで
お悩みではありませんか?
- お子様の受け口が心配…
- 学校検診でお子様が不正咬合と言われた
- 永久歯が歪んで生えてきているような気がする
- 最近、お子様の前歯がガタガタになってきたような気がする
- お子様が出っ歯になってきたので心配…
お子様の矯正は
当院にお任せください

お子様のうちに矯正治療を始めることは、とても大切です。成長期には歯が生え変わるだけでなく、顎の骨も成長するので、その時期に治療を始めることで顎の骨の成長を正しい方向に誘導して、少ない負担で歯並びや噛み合わせなどを整えたり、本格的な矯正装置を使用した治療が回避できたり、本格的な矯正装置による治療が必要になった場合でも、治療期間を短くしたりすることが可能となります。
正しい歯並びや噛み合わせは、お子様の健全な成長発育を促すとともに、口元や顔立ちに良い影響を与えます。そして、余計なコンプレックスを抱えることなく、心身ともに健康的な生活を送ることができるようになります。もし今、お子様の歯並びや噛み合わせのことでお悩みであれば、一度当院までご相談ください。当院では、新しい小児矯正装置「NeO-Cap.System®(ネオキャップシステム)」を導入しており、これにより、お子様に少ない負担で効果的な矯正治療を受けて頂くことができるようになります。
お子様の矯正のメリット
お子様の矯正は歯並びや噛み合わせの改善だけでなく、様々なメリットをもたらしてくれます。
虫歯・歯周病が予防できる
歯並びが悪いと歯磨きなどのケアがきちんと行えなくなるため、虫歯や歯周病になりやすくなりますが、矯正治療により歯並びを整えることで、そうしたリスクを回避して病気予防をはかることができるようになります。
脳の働きを活発にする
噛み合わせの改善によってよく噛めるようになり、脳神経が刺激されて脳の働きが活発化します。また、記憶力や集中力もアップすると言われています。
姿勢・呼吸が整う
歯並びの乱れが原因で起こる唇の閉鎖不全や、舌の位置異常で起こる口呼吸が改善されます。また噛み合わせが良くなることで姿勢が正されて、全身的な成長発育にも寄与します。
発音が良くなる
歯並びが良くなることで、唇や舌の動きが改善されて発音機能が向上します。
笑顔が増える
歯並びがきれいに整うことでコンプレックスが解消されて、気持ちが明るくなり、笑顔の多い毎日を送ることができるようになります。
お子様の矯正を開始する時期

お子様の矯正を始める時期はいつがよいですか?という質問をよく受けます。当院ではネオキャップシステムという治療法で6〜8歳ぐらいから開始しておりますので歯並びのご相談はできるだけお早目にして頂くことをおすすめします。早期にご相談頂くことで、適切な時期に矯正治療を開始するための治療計画を立てることができますし、治療方法の選択肢の幅も広がります。
反対に、ご相談頂くタイミングが遅れると、お子様の治療にともなう負担が増してしますことがありますので、少しでも「おかしいな」と思った時には一度ご相談ください。
新しい小児矯正装置
「NeO-Cap.System®
(ネオキャップシステム)」
NeO-Cap.System®(ネオキャップシステム)とは

「NeO-Cap.System®(ネオキャップシステム)」とは、「ドイツ式ビムラー」という取り外し式の装置と、「NeO-Cap(ネオキャップ)」という装置を組み合わせて使用することで、顎を広げるだけでなく、噛み合わせを上下・左右・前後など3次元的に動かすことができ、審美的・生理的に安定した位置に持っていくことが可能な矯正システムです。歯は舌、頬、唇などの筋肉のバランスに合わせて並びます。このバランスが良ければ、理想的な位置に自然と並んでいくことになります。
この治療方法を行うことができるのは、ネオキャップシステム臨床研究会で十分な研修を受けた歯科医師が在籍し、IFOCS国際機能矯正臨床研究会の公式認定を受けた歯科医院のみです。現在、大阪でこの治療方法を行っている歯科医院はほとんどありません。当院ではこれまで様々な装置を使ってお子様に矯正治療を提供してきましたが、今のところこのネオキャップシステムが最も良好な結果が期待できます。
舌やお口まわりの筋力を
活性化
NeO-Cap.System®
(ネオキャップシステム)とは

まず、ネオキャップというプラスチック製の矯正装置を、主に乳歯に装着させます。それにより噛み合わせが高くなり、最初はお口が閉じにくくなりますが、唾を飲み込む時にお口を閉じなければいけないので、自然と口唇の筋肉がついてきます。
また、お口の中が広くなりますので、以前よりも舌が動きやすくなり、筋力もついてきます。こうして、舌やお口まわりの筋力を活性化することができるようになります。
就寝中に
ゆっくりと歯を動かしていきます
次に、ドイツ式ビムラーという取り外し式の装置を夜間に装着します。就寝中の唾を飲み込む時の動きが装置に伝わり、ゆっくりと歯を動かしていきます。このビムラーは、ヨーロッパでの使用実績があり、安全性に配慮した装置です。取り外しが可能で、痛みに配慮した装置です。既成のマウスピースを使用する方法もありますが、あくまで既製品なので、お子様お一人おひとりに合ったものではないほか、装着時間が長かったり、痛みが多かったりするものもあります。
ネオキャップシステムは、お子様の歯型を採取して、ネオキャップシステム臨床研究会の技工所のみで作製されます。お一人おひとりにぴったり合った装置が作製されるので、快適に治療を受けることができます。
基本的には就寝中に装着するだけ

ネオキャップシステムは、基本的に就寝中に装着するだけなので、治療中の見た目を心配する必要はありません。また、学校へ持っていって失くす心配はありませんし、バレエやピアノの発表会でも針金が見えることもありません。そして、ネジを回したりする従来の装置と異なり、ご家庭で調整して頂く必要もありません。さらには、長時間使用する煩わしさがないので、お子様が途中で治療を止めてしまう可能性も少なくなります。
1つの装置で上下の歯を
治療することができます
ネオキャップシステムは、1つの装置で上下の歯を同時に治療することができます。針金を付けることなく、まわりの目を気にすることなく、毎日の生活に不便がない状態で治療を受けて頂くことができます。
ネオキャップシステムの特徴
- 基本的には就寝中に装着するだけ
- 小さなお子様でも痛みに配慮したご利用が可能です。
- 抜歯せずに歯並びや噛み合わせを治すことが可能
-
取り外し式の装置なので虫歯になりにくい
(取り外して、きちんと歯を磨くことができる) - 治療後の後戻りが起こる可能性が少ない
- 歯と顎を同時に治療することができる
- 上下顎のバランスを整えることができる
- 指しゃぶりなどのお口まわりの悪癖を改善することができる
- 途中でやめても今以上に悪くなることはない
- ブラケット矯正よりも費用を抑えることができる
- 自然な歯並びにすることが可能
ネオキャップシステムの開始時期
6~8歳程度が適した時期とされています。永久歯が上の前歯で2本、下の前歯で4本生えた時期が良いタイミングです。
ネオキャップシステムの治療期間
ネオキャップシステムの治療期間は約4年です。お子様の矯正は健全な永久歯列を作ることが目的です。歯だけを診るのではなく、舌や口腔周囲筋を含めてトータルに治療していきます。
ネオキャップシステムの治療の流れ
「先の見えない矯正治療を続けられるのだろか?」 治療期間が約4年と長い中で、治療の流れが分からないと不安になりますよね。 ワイヤー矯正やマウスピース矯正ですと、なんとなくイメージできたり、周りの方がやっていて話を聞いたりすることがあると思います。 その点、ネオキャップシステムは、矯正治療の中でも聞き馴染みのない方が多いのではないでしょうか。 はた歯科では、ネオキャップシステムの特徴やメリットを知っているからこそ、患者さんにより良い矯正治療が提供できると思い導入しております。 ですが、治療の流れやどういった変化が見られるのか、矯正治療前に分かっていると少し安心感がありませんか? その辺りのことについても説明をしていきます!
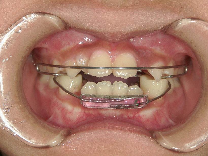
ネオキャップシステムは、ネオキャップとビムラーと呼ばれる2つの装置を使って矯正治療を行っていきます。
-
1まず、ネオキャップの作製・装着
奥歯の乳歯に白い被せ物をします。この被せ物をすることで、正しいかみ合わせに導き、舌の動きも良くなります。
-
21ヶ月後くらいに、ビムラーの作製・装着
この装置は、夜間使用していただく矯正装置になります。顎のバランスを整え、歯を動かしていくことで歯並びを整えていきます。
-
3定期健診・チェック
1〜2ヶ月に1回の通院時に調整や経過のチェック・定期検診などを行っていきます。
ネオキャップシステムの
注意点・デメリット
- 装置をきちんと装着して頂かないと、十分な治療効果が得られない場合があります
- 歯は、舌や口腔周囲筋に対して生理的に調和した自然な位置に並んでいきますので、ピアノの鍵盤のような精密でまっすぐな歯並びを希望される方には向きません。目指すのは自然な歯並び(個性正常咬合)です
矯正装置の比較
取り外しができる小児矯正
| ネオキャップ システム |
拡大床 | インビザライン ファースト |
|
|---|---|---|---|
| 装置 | 取り外し可能 | ||
| 装着時間 | 夜のみ | 8〜14時間 | 20時間以上 |
| 治療期間 | 約4年 | 約1年 | 約1年半 |
| 矯正力 | 顎・舌・歯 全てのバランスを 良くしていく | 顎の幅を広げ、 歯を並べる | 歯並び |
| 制限 | なし | なし | 飲食制限あり 装置装着時は水のみ |
| Drのスキル | IFOCS会員のみ (年1更新必要) |
歯科医師免許が あれば可能 | インビザライン取り扱うための ライセンス取得必要 (更新なし) |
| 生活での弊害 | 特になし | 使用時間によっては、 着脱の管理が必要 | 食事の前後で着脱を行う (間食時も) |
症例
矯正前
矯正中
矯正後
| 患者様の主訴 | 受け口が気になる |
|---|---|
| 治療法 | ネオキャップ+ビムラー矯正 |
| 治療開始年齢 | 7歳8ヶ月 |
| 治療期間・経過 | 7年6ヶ月 ネオキャップを乳歯に装着 2ヶ月後にビムラー装置で治療開始 主に夜、寝ている間に装着 月1回の来院、調整 乳歯の萌え代わりが遅いお子様でしたので治療が長期間となった。7年6ヶ月後に矯正治療終了とした。 |
| メリット | ・自宅内のみで使用するので誰にも気づかれずに治療できる。 ・自然と口を閉じる筋肉がついてくるので 口呼吸が治りやすい。 ・成長期に矯正力を働かせることで下顎の過成長を抑制できる。 ・将来的に外科手術が必要なくなる可能性がある。 |
| デメリット | ・矯正器具を使わないと治らない。 ・ネオキャップの周辺に汚れがたまりやすいのでしっかりとしたケアが必要になる。 ・子供だけでなく両親の協力が必要 ・歯の微調整は苦手なので、2次的な矯正治療が必要となる場合がある。 |
矯正前
矯正中
矯正後
| 患者様の主訴 | 出っ歯が気になる。ガタガタしている。 |
|---|---|
| 治療法 | ネオキャップ+ビムラー矯正 |
| 治療開始年齢 | 7歳3ヶ月 |
| 治療期間・経過 | 3年0ヶ月 ネオキャップを乳歯に装着2ヶ月後にビムラー装置で治療開始主に夜、寝ている間に装着月1回の来院、調整3年0ヶ月後に矯正治療終了とした。 |
| メリット | ・自宅内のみで使用するので誰にも気づかれずに治療できる。 ・自然と口を閉じる筋肉がついてくるので口呼吸が治りやすい。 ・成長期に矯正力を働かせることで自然な仕上がりになる。 ・後戻りがほとんどない。 |
| デメリット | ・矯正器具を使わないと治らない。 ・ネオキャップの周辺に汚れがたまりやすいのでしっかりとしたケアが必要になる。 ・子供だけでなく両親の協力が必要 ・歯の微調整は苦手なので、2次的な矯正治療が必要となる場合がある。 |
矯正前
矯正中
矯正後
| 患者様の主訴 | 受け口が気になる |
|---|---|
| 治療法 | ネオキャップ+ビムラー矯正 |
| 治療開始年齢 | 16歳10ヶ月 |
| 治療期間・経過 | 2年10ヶ月 ネオキャップを永久歯に装着2ヶ月後にビムラー装置で治療開始。主に夜、寝ている間に装着 月1回の来院、調整2年10ヶ月後に矯正治療終了とした。 |
| メリット | ・自宅内のみで使用するので誰にも気づかれずに治療できる。 ・自然と口を閉じる筋肉がついてくるので口呼吸が治りやすい。 ・成長期に矯正力を働かせることで下顎の過成長を抑制できる。 ・将来的に外科手術が必要なくなる可能性がある。 |
| デメリット | ・矯正器具を使わないと治らない。 ・ネオキャップの周辺に汚れがたまりやすいのでしっかりとしたケアが必要になる。 ・子供だけでなく両親の協力が必要 ・歯の微調整は苦手なので、2次的な矯正治療が必要となる場合がある。 |
矯正前
矯正中
矯正後
| 患者様の主訴 | 歯がガタガタしている。 |
|---|---|
| 治療法 | ネオキャップ+ビムラー矯正 |
| 治療開始年齢 | 9歳8ヶ月 |
| 治療期間・経過 | 3年9ヶ月 ネオキャップを乳歯に装着2ヶ月後にビムラー装置で治療開始 主に夜、寝ている間に装着 月1回の来院、調整3年9ヶ月後に矯正治療終了とした。 |
| メリット | ・自宅内のみで使用するので誰にも気づかれずに治療できる。 ・自然と口を閉じる筋肉がついてくるので口呼吸が治りやすい。 ・成長期に矯正力を働かせることで自然な仕上がりになる。 ・後戻りがほとんどない。 |
| デメリット | ・矯正器具を使わないと治らない。 ・ネオキャップの周辺に汚れがたまりやすいのでしっかりとしたケアが必要になる。 ・子供だけでなく両親の協力が必要 ・歯の微調整は苦手なので、2次的な矯正治療が必要となる場合がある。 |
お子様の矯正のメリット
お子様の矯正は歯並びや噛み合わせの改善だけでなく、様々なメリットをもたらしてくれます。
虫歯・歯周病が予防できる
歯並びが悪いと歯磨きなどのケアがきちんと行えなくなるため、虫歯や歯周病になりやすくなりますが、矯正治療により歯並びを整えることで、そうしたリスクを回避して病気予防をはかることができるようになります。
脳の働きをサポートする可能性がある
噛み合わせの改善によってよく噛めるようになり、脳神経が刺激されて脳の働きが活発化します。また、記憶力や集中力もアップすると言われています。
姿勢・呼吸が整う
歯並びの乱れが原因で起こる唇の閉鎖不全や、舌の位置異常で起こる口呼吸の改善が期待できる可能性があります。
また噛み合わせが良くなることで姿勢が正されて、全身的な成長発育に寄与する可能性があります。
発音が良くなる
歯並びが良くなることで、唇や舌の動きが改善されて発音機能の向上が期待されます。
笑顔が増える
歯並びがきれいに整うことでコンプレックスが解消されて、気持ちが明るくなり、笑顔の多い毎日を送ることができるようになります。
お子様の矯正を開始する時期

お子様の矯正を始める時期はいつがよいですか?という質問をよく受けます。当院ではネオキャップシステムという治療法で6〜8歳ぐらいから開始しておりますので歯並びのご相談はできるだけお早目にして頂くことをおすすめします。早期にご相談頂くことで、適切な時期に矯正治療を開始するための治療計画を立てることができますし、治療方法の選択肢の幅も広がります。
反対に、ご相談頂くタイミングが遅れると、お子様の治療にともなう負担が増してしますことがありますので、少しでも「おかしいな」と思った時には一度ご相談ください。
よくある質問
- Q なぜ、治療期間が長いのですか?
-
A急激に力をかけ、変化させていくのではなく、成長に合わせて、顎の位置や上下のバランスなどを整えていきます。 また、ネオキャップという白い被せ物の装置を乳歯の奥歯に装着するのですが、その乳歯が抜け、永久歯が生えてくるのが11〜12歳です。7歳前後で矯正治療を始めるタイミングになりますので、約4年かかることになります。
- Q 装置の使用が夜のみですが、ちゃんと治りますか?
-
A夜のみですが、長期間使用していくことで効果が出てきます。使用方法を守っていただいていれば、しっかり治る可能性が高くなります。
- Q 舌のトレーニングをする必要がありますか?
-
Aネオキャップという矯正装置を使用することで、お口の中の空間が広がり、勝手に舌の動きが良くなると言われています。お子さんの舌の動きや癖によって、舌のトレーニングをご案内することもありますが、基本はネオキャップシステムの矯正治療のみで大丈夫です。
- Q 子どもの内にネオキャップシステムを行い、大人になってから再度矯正治療をすることになりますか?
-
A絶対ないとは言い切れません。ですが、お口周りのバランスを整え矯正治療をしていきますので、かみ合わせや歯の位置も安定しやすいです。そのため、矯正治療後の後戻りもほとんどないと言われています。

























